۱۳۰۰ زن شاکیان فایزر تأکید دارند که سالها از نتایج پژوهشهای علمی درباره ارتباط مصرف طولانیمدت Depo-Provera (دپو-پروورا) با افزایش خطر مننژیوم آگاه بوده یا باید آگاه میبود، اما این اطلاعات را به پزشکان و بیماران منتقل نکرده است.
بله! بیش از ۱۳۰۰ زن در سراسر آمریکا علیه شرکت داروسازی فایزر (Pfizer) شکایت دستهجمعی مطرح کردهاند.
این زنان ادعا میکنند که شرکت فایزر درباره خطرات استفاده طولانیمدت از داروی تزریقی پیشگیری از بارداری Depo-Provera هشدار کافی نداده است.
این شکایتها در قالب دعوی چندمنطقهای (MDL) در دادگاه منطقهای شمال فلوریدا در حال رسیدگی هستند.
شاکیان تأکید دارند که فایزر سالها از نتایج پژوهشهای علمی درباره ارتباط مصرف طولانیمدت Depo-Provera (دپو-پروورا) با افزایش خطر مننژیوم آگاه بوده یا باید آگاه میبود، اما این اطلاعات را به پزشکان و بیماران منتقل نکرده است.
این پروندهها شامل ادعای قصور پزشکی علیه پزشکان نمیشوند و تمرکز اصلی آنها بر کوتاهی فایزر در ارائه هشدارهای کافی است.
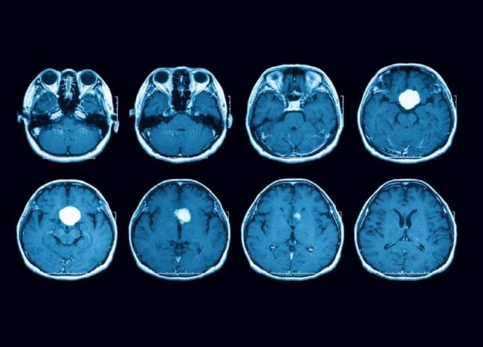
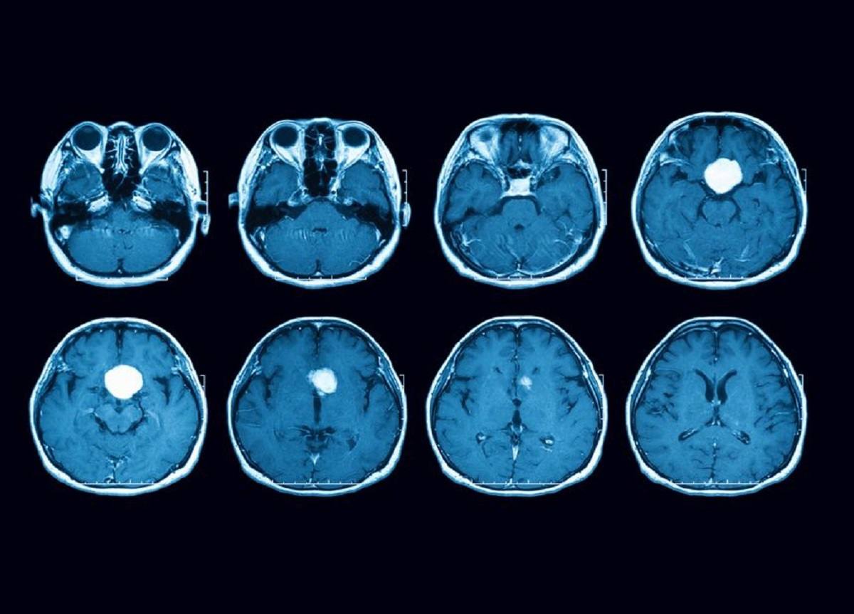
بر اساس شکایات ثبتشده، بسیاری از زنان به دلیل عدم اطلاع از این خطرات، سالها به مصرف این دارو ادامه دادهاند و در موارد متعددی، ابتلا به تومور مغزی منجر به انجام جراحی مغز، پرتودرمانی یا مراقبتهای عصبی مداوم شده است.
شاکیان میگویند:
اگر فایزر هشدارهای لازم را روی برچسب دارو و در اطلاعرسانی به پزشکان و عموم مردم درج میکرد، میتوانستند تصمیمهای آگاهانهتری درباره سلامت خود بگیرند و از این آسیبها پیشگیری شود.
(https://api.mediaad.org/v2/events/click?iid=35c5ee09-6bb7-4544-b02e-97fa3745c2ab_628437x57955x0x98346&rid=628437&cid=57955&wid=98346&t=1759988892525&redir=https%3A%2F%2Flanding.saamim.com%2F6Ehy8%3F&h=7327&w=390) شکایتهای مطرحشده شامل مواردی متعدد از جمله:
✔️عدم بهروزرسانی برچسب دارو با وجود انتشار مطالعات جدید درباره ارتباط Depo-Provera با مننژیوم
✔️عدم اطلاعرسانی کافی به پزشکان برای آگاهسازی بیماران
✔️نبود هشدار عمومی یا اطلاعیههای ایمنی درباره مصرف طولانیمدت این دارو است.
پروندهها اکنون در قالب یک دعوی چندمنطقهای در حال پیشرفت هستند. این ساختار به شاکیان اجازه میدهد شواهد پزشکی، علمی و کارشناسی را به شکل متمرکز علیه فایزر ارائه کنند.
در عین حال، هر شاکی حق دارد دعوی فردی و وکیل اختصاصی خود را حفظ کند. تیمهای حقوقی از جمله وکلای گروه Mass Tort Litigation در موسسه Morris James در حال جمعآوری مدارک پزشکی، شهادت کارشناسان و مستندات علمی برای تقویت ادعاها هستند.
/انتهای پیام/

